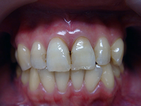
ホ ー ム ホ ワ イ ト ニ ン グ
 

治療方法は患者さん自身でホワイトニング用マウスピースに粘張性のある薬液(10〜20%過酸化尿素)を入れて、歯に1日3〜6時間前後装着し2,3週間続けてもらう治療法です。

自然な白さに近く、薬液が余ればまた好きな時に出来るので、ホームホワイトニングをお勧めしています。

アメリカの企業Ultradent(ウルトラデント)社のOpalescence(オパレッセンス)を使用しております。

このオパレッセンスはFDA(アメリカ食品医薬品局)、ADA(アメリカ歯科医師会)にその安全性が認められております。

あと日本製のGC社から出ているティオンを使用します。

 
   
   
 

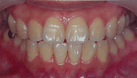
ウ ォ ー キ ン グ ブ リ ー チ
 

神経を取った歯は徐々に色が変色していき、何年かすると目立つようになります。

その神経を取った歯だけをホワイトニングする方法がウォーキングブリーチ法です。

治療法は歯の裏側から穴を開け、そこにホワイトニング液を入れて、セメントで封鎖してそのまま1週間くらい放置すると白くなっていきます。

これを3回くらい繰り返す事によって白くしていきます。

 

   


       
         
         

 

Copyright (C)2000 ars dental clinic. All Rights Reserved.