イ ン プ ラ ン ト
 


インプラントとは人工歯根のことで、あごの骨の中にチタン
製のインプラント体を手術して入れ、ある一定の期間スリープさせ、骨と結合するのを待ってから歯を作っていく治療法です。

インプラント治療には多種多様の方法があり、わかりにくい事ではありますが現在主流とされている治療法(アストラテック社、ノーベルバイオケア社)を当院では採用しています。

またインプラント治療は、入れ歯を入れずにすむ・歯を削らずにすむ・審美的に良くなる・咀嚼機能や味覚が回復する・話しやすくなるなど様々なメリットがありますが、骨の状態で成功率が変わる・ブラッシングが難しい・高価である・メインテナンスが必要などのデメリットもあります。

当院ではそれをふまえた上で詳しく診査・診断をし患者さんと相談しながらインプラント治療を行います。


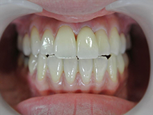
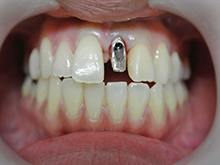
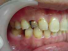
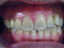
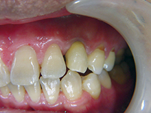
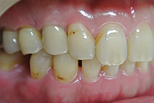
症 例
 
      
 
      
 
      
 
      
 
      
 
      
 
      
 
      
 
      
 
      
 
      
 
   
 
 
 




       
         
         

 

Copyright (C)2000 ars dental clinic. All Rights Reserved.