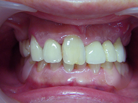
入 れ 歯
 

ノンクラスプデンチャー

 
通常の部分入れ歯の場合、金属色(ほとんど銀色)のバネを歯に掛けて部分入れ歯を維持させるため、バネを掛ける歯の位置によっては見えてしまうため審美的・心理的・装着感的問題が生じます。

部分入れ歯自身に柔軟性を持たせ、薄く作り、歯のアンダーカットの部分を利用して維持させてバネを失くしこれらの問題を改善したのがノンクラスプデンチャーです。

当院のノンクラスプデンチャーはレイニング樹脂でできており、レイニング樹脂はポリカーボネート樹脂をベースポリマーとし、吸収性の低い材料のため嫌な臭いもなく、透明度があり審美性の高い義歯に適しています。


症 例
 
   
 
 
 


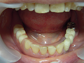
マグネットデンチャー

 まず初めに言っておきますが、マグネットによる入れ歯は歯が1本でも2本でも残っていないと治療できません。

 部分入れ歯の方はできますが、総入れ歯の方は残念ながらできません。

 マグネットによる入れ歯とは簡単に説明すると残っている自分の歯に磁石とくっつく磁性金属,

 入れ歯側に超小型磁石を取り付け、磁力により入れ歯を維持・安定させる方法です。

 

 <利点>

 1.部分入れ歯のばねがなくなるので、見た目がきれいになる。

 2.装着・取り外しが簡単

 3.ばねになっている歯の負担が軽減する

 <欠点>

 1.歯をけずらないと磁性金属がはいらない

 2.入れ歯の調整が難しくなる

 3.保険がきかない

 





症 例
   

 

 

 

 



       
         
         

 

Copyright (C)2000 ars dental clinic. All Rights Reserved.