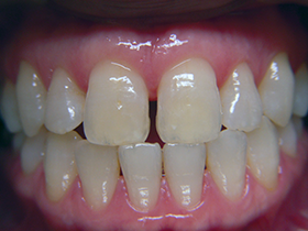
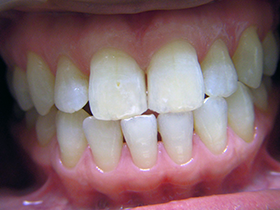
すきっ歯(正中離開)
 

すきっ歯(正中離開)は歯に問題がなければ簡単に保険の範囲内で治療が可能です。

 
    術 前   術 後  
     
           
     
   
     
 
 


       
         
         

 

Copyright (C)2000 ars dental clinic. All Rights Reserved.